15th February
by Drs Amy Barkhurst & Muktar Abute
One week in and yet it has only felt like we have been here for only a couple of days! Today we shift from ecology to disease investigation and mapping. Our breakfast was eggs, parathas, poha, fruit, and of course chai and coffee. We had an introductory lecture on pathological examination and necropsy by Dr Karikalan and then headed out for a necropsy demonstration. We were fortunate to have three carcasses to learn from this year, including a fresh specimen. By mid morning we were in our PPE and the tutors walked us through everything step by step. It was very interesting to apply our foundational pathological exam skills with applications of what kind of diseases, injuries, and poaching is encountered in India.
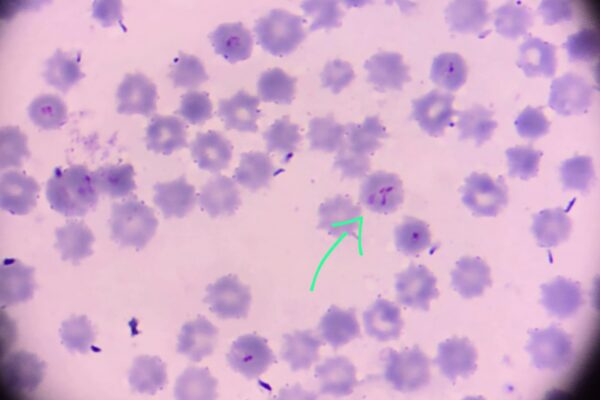
For lunch we had dal, rice, paneer, egg curry, and raita! And of course, more chai. Dr Karikalan was very invested in our learning and did some extra spontaneous talks on bloodborne parasites and showed us how to locate them on microscopy and what to expect.
The afternoon was shifted towards GIS mapping and QGIS programming. Dr. Neil Anderson was very helpful and took us through mapping our data points from yesterday, step by step. Once the data was together you could see all of our minds click with that “aha!” moment and we could start to see how landscape patterns might explain the disease spread we were seeing in the field.
Dinner was tomato soup to comfort us after our exhaustive day, dal makhani, rice, vegetables, mutton, and gajar ka halwa. It was a full day of field work, data input, good food, and lots of chai tea!
Tomorrow we keep going!
-Muktar & Amy




